Čeština  English  Deutsch 

MUDr.Česnek

  • Ordinace
    • Ordinace
    • Naše práce
  • Ceník
  • Služby
  • Tým
  • Informace pro pacienty
    • Informace pro pacienty
    • Po vytržení zubu
    • Po zavedení implantátu
    • Ostatní výkony
  • Kontakt

Zubní implantáty

  1. Domovská Stránka
  2. Naše služby
  3. Zubní implantáty

Zavádíme implantáty Straumann a spolupracujeme Implantačním centrem MUDr.Jiřího Kruga

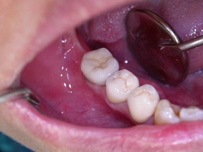
Implantát v postranním úseku chrupu.

Implantát v postranním úseku chrupu.

Implantát v postranním úseku chrupu.

Implantát v postranním úseku chrupu.

MUDr. Ladislav Česnek

Privátní stomatologická praxe


Kontakt

Vinohradská 165/3216, Praha 10
ordinace@cesnekzubar.com
(+420) 274 782 260
Ordinační doba

  • pondělí 7:30 - 15:30
  • úterý 11:00 - 18:30
  • středa 11:00 - 18:30
  • čtvrtek 7:30 - 15:30
  • pátek 7:30 - 14:30
Pro pacienty

  • Informace pro pacienty
  • Po vytržení zubu
  • Po zavedení implantátu
  • Po ostaních výkonech

© 2022 MUDr. Ladislav Česnek - privátní stomatologická praxe